Schedule Your Appointment

(573) 442-1788

Pay your bill online

Make A Payment

Ultrasound

Home / Go Back / Ultrasound

Ultrasound

Ultrasound is a non-invasive imaging technique that uses high-frequency sound waves and their echoes to create detailed images of the body's internal structures, helping diagnose a variety of conditions without radiation. The last appointment time for ultrasounds is 30 minutes before closing at all locations.

Ultrasound is a non-invasive imaging technique that uses high-frequency sound waves and their echoes to create detailed images of internal organs and structures in the body, helping diagnose a variety of medical conditions without the use of radiation.

An ultrasound machine has three main components: a transducer probe, a central processing unit (CPU), and a display. The transducer probe sends sound waves into the body. When these waves encounter different tissues, like from soft tissue to fluid or bone, they reflect back to the probe. The CPU then interprets the sound wave signals to generate detailed images of the internal structures.

The probe contains piezoelectric crystals that generate and receive sound waves. Electrical signals cause these crystals to rapidly change shape, producing sound waves that travel into the body. When the waves bounce back to the probe, the crystals convert them into electrical currents, which are then interpreted by the CPU to form an image.

No, ultrasound is completely safe! Unlike X-rays, which use radiation, ultrasound relies on sound waves to create images, making it the preferred method for imaging pregnant women and their unborn babies.

We offer a range of ultrasound exams, including abdominal, pelvic, transvaginal, scrotum, thyroid, musculoskeletal, and vascular studies. Specialized exams include elastography, kidney, bladder pre/post-void, aorta, carotid, renal artery, liver, arterial, venous, Toe pressures (Columbia location only), and more.

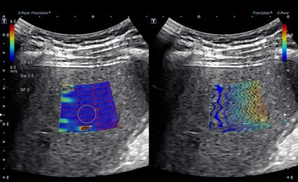
Liver disease is often called a “silent disease” because it can go unnoticed for years, until the damage is done. Elastography is a safe, painless ultrasound to check liver stiffness. It works by sending gentle pulses (called shear waves) through your liver, then tracks how fast they move. The faster they travel, the stiffer and possibly more damaged your liver may be. This helps spot early signs of scarring (fibrosis) before it turns into something more serious, like cirrhosis or liver failure. You may need this exam if your doctor suspects liver disease or wants to monitor your liver without a biopsy. Elastography can also help guide treatment plans and be part of your annual wellness screening.

Risk Factors for Liver Damage are:

  • Family history of liver disease
  • History of heavy alcohol use
  • Long-term medication use (especially statins, diabetes meds, or anti-inflammatory drugs)
  • Obesity or metabolic syndrome
  • Poor diet or high cholesterol
  • Viral Hepatitis B or C
  • Type 2 diabetes or insulin resistance
  • Fatty liver disease (non-alcoholic or alcoholic)

Even without symptoms, these conditions can silently damage your liver.

How to Prepare for an Elastography Exam:

  • Safe, fast, needle-free
  • Ultrasound takes 5–10 min

How to Prepare for an Elastography Exam:

  • Avoid food and sugary drinks for 3–4 hours before your exam
  • Wear loose clothing, and you may be asked to change into a gown
  • Take your medications as normal, unless told otherwise

Preparation varies depending on the area being examined:

  • For abdominal, aorta, kidneys, liver, gallbladder, spleen, and pancreas exams: Fast for at least 8 hours before your exam (no eating or drinking, including mints or gum). You can take medications with small sips of water.
  • For pediatric exams: Fasting time depends on the child’s age. Consult your doctor for specific instructions.
  • For pelvic ultrasound exams: Empty your bladder 1 to 1½ hours before the exam, then drink 32 ounces of liquid to fill your bladder. Do not empty it again until after the exam.

Wear comfortable, loose-fitting clothing, and be prepared to remove clothing from the area being examined.

If your exam requires you to be NPO [nothing to eat or drink], please check with your doctor before scheduling, as this may affect your appointment time, especially for same-day appointments.

  • You’ll be greeted by our friendly staff, who will make you feel comfortable and answer any questions.
  • You may be asked to remove clothing from the area of interest, and a cloth will be provided to cover any exposed areas.
  • A warm, water-based gel will be applied to the skin to allow sound waves to pass more easily. The technologist will cover the probe with a plastic cover and move it over your skin to capture the images.
  • You may be asked to change positions for better imaging.
  • Once the images are captured, they are immediately sent to your doctor for review on the same day.
  • Afterward, you’ll be given a towel to clean off the gel and then can get dressed.

Most ultrasound exams take between 30 minutes to 1 hour, depending on the type of exam.